Valgus deformity of the first toe most often affects mature women, but also men.A deformed base of the thumb does not look aesthetically pleasing.In this case, the person experiences physical discomfort and, in advanced stages, pain.A deviation of the big toe is the result of uneven body load on the foot.Such changes adversely affect the feet and other fingers.
Causes of curvature

A hallux valgus does not occur for no apparent reason.This pathology appears and develops under the influence of various reasons.Hallux valgus most often affects people who are genetically predisposed to this disease.Doctors note the following causes of deformity of a toe:
- Overweight.
- Endocrine diseases.
- Osteoporosis.
- Flat feet.
- Diabetes mellitus.
- Psoriasis.
- Arthritis.
- Hormonal changes during pregnancy and old age.
- Wear tight shoes.
- The peculiarity of the profession is that a person has to endure increased physical activity on the legs every day.
Stages and varieties
Doctors consider 3 stages of the course of the disease:
- Subtle valgus deviation.Redness of the skin and slight abrasions occur.Discomfort when walking.
- Growth can already be clearly seen on the thumb.Swelling and pain are observed.
- This form of the disease is considered advanced.People suffer from constant, unbearable pain in the big toe and the entire foot, as well as the appearance of calloused skin.The pain doesn't go away even when you sleep.
The development of an unpleasant hallux valgus is influenced by many factors.Experts have identified the following types of finger deformities as a separate category:
- Junction deformity.The curvature occurs in different directions.We keep our fingers crossed.
- Curvature of the joints to such an extent that they are always in a flexed position.At the first stage of development of the pathology, the fingers can be forced to straighten with the help of the hands.If treatment is not started at this time, the fingers will become so stiff that you will no longer be able to straighten them with your hands.Now it is impossible to do without surgery.
- Taylor's deformity.Pathology affecting the little fingers.Characterized by the appearance of a growth on the bones.
- Curvature of the phalanges resembling hooks.

Experts believe that ballerinas are at risk of hallux valgus.Dancing on your toes puts more strain on your toes, causing your toes to curl.Even going wrong can lead to undesirable results.Provoking factors actually worsen with age.
Diagnostic methods
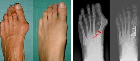
If visual examination and X-ray do not give a result, the patient is referred for plantography to detect possible flat feet.With this method, impressions of the feet are made, on the basis of which shoes or insoles with orthopedic properties are made for the patient.The patient is then prescribed podometry.This method uses computer analysis to determine the pressure of a person's weight on their feet.The results of advanced diagnostics are the basis for choosing a method of treatment for curvature of the first and second toes.
The disadvantage of X-ray examination is the need to irradiate the patient's legs, which many patients do not like.They consider this to be too harmful a method.In this regard, effective treatment of hallux valgus cannot be started without the results of plantography.

This is the most informative diagnostic method.With its help, the doctor not only determines the presence of flat feet, but also the condition of the arch of the foot.Computer examination is the most effective method for detecting flat feet.
At the first stage of detecting valgus of the big and little toes, the doctor conducts a visual examination.In this way, the level of development of the pathology is determined.To detect detailed joint changes, x-rays and plantography are prescribed.
Drug therapy
It is better to start gentle treatment of the foot and big toe before the final stage of development of the pathology occurs.Experts know how to treat this pathology, but they do not know how to cure the advanced form of the disease without surgical intervention.First, doctors determine the cause of the finger curvature, as well as the presence of complicating factors.As is well known, the tasks of drug therapy also include symptomatic therapy.This eliminates pain, inflammation and swelling.
Most often, patients are prescribed nonsteroidal anti-inflammatory drugs.In addition to their main function, they reduce pain and fever.If complications occur, hormonal corticosteroids are often prescribed.If the deformation of the fingers is caused by diseases of the internal organs, the joints can be corrected after the underlying pathology has healed.In this case, endocrinologists are involved in the problem together with other highly specialized specialists.Many people try to cure themselves with folk remedies, forgetting that this is possible only at the initial stage of the development of the pathology.
If the pathology is noticed at the initial stage, the crooked thumb is straightened with the help of devices - plastic or silicone pads with orthopedic properties.You should wear soft, spacious shoes during treatment.To straighten crooked fingers, orthopedic insoles, arch supports and other corrections are used.Deformed fingers are fixed with special splints, rings, caps and combs.With the help of such devices, the fingers are secured in the correct position.Thanks to orthopedic fixators, the development of further deformation of the fingers is stopped.
There are two ways to treat hallux valgus.The first is a painless correction of the deformity that does not require surgical intervention and rehabilitation, the second is treatment by surgery.
Surgical treatment methods

Complete healing of hallux valgus is only possible with the help of a surgeon's scalpel.Sometimes just one operation is enough and the patient forgets the problem forever.The doctor carries out the surgical procedure taking into account the type of hallux valgus deformity.The most common types of operations are:
- Exostectomy.Only a certain part of the metatarsal bone is removed.
- Resection arthroplasty.The end part of the metatarsal bone is removed.
- Osteotomy.It is used to remove the metatarsal bone, as well as a small part of the phalanx.
- Resection.The aim of the operation is to remove the affected soft tissue and transplant healthy tissue in its place.
- Arthrodesis.Provides forced immobility of joints.
- Distal osteotomy.During the operation, the angle between the joints is reduced.
- Removal of the inflamed bursa of the big toe.
- Installation of implants.
The rehabilitation period after surgery can last up to seven weeks.Special precautionary measures are usually carried out in these few weeks.First of all, these are therapeutic exercises that promote:
- improving health status;
- Relieving pain when walking;
- increasing the tone of the leg muscles;
- Installation and fixation of the deformed joint in its natural position.
The duration of the rehabilitation phase usually depends on how complex the operation was.To speed up recovery, you should start moving your fingers the next day.After a week, the patient can already stand up and move slowly, taking precautions.The main thing is to avoid prolonged stress.
After the operation, you will need high-quality, soft and spacious shoes.The purchase is made on the recommendation of a doctor.By the way, if you start therapeutic exercises at the very beginning of the development of hallux valgus, you can not only do without surgical intervention, but also without wasting money on various devices, ointments and medications.
Experts say that the surgical treatment option gives almost 100% positive results.This gentle treatment method does not require anesthesia and does not cause stress or psychological distress.However, painless treatment methods cannot save a person from the final stage of the disease.
Preventive measures

Preventive measures are very simple: wear comfortable shoes with wide toes, the inside of which does not put pressure on the toes.Joints in particular and feet in general are able to withstand without damage the weight accumulated during human growth.Therefore, it is very important to monitor your body weight to avoid obesity.
One of the effective preventive exercises is the following: a person sits on a chair and puts his feet on the floor.He moves them with his fingers.
The next exercise is to walk barefoot on the floor, alternating between toes and heels.
Simple gymnastics is quickly mastered, leading to more complex physical exercises.You can then perform actions such as:B. pick up a pencil or another object from the floor.
It is better to prevent deformity of the thumb than to subsequently queue in medical institutions for medical recommendations on choosing an effective treatment.

























